产品名称:Lifeline LL-0003 VascuLife VEGF Complete Kit 内皮细胞培养基套装
产品货号:LL-0003
上网搜索:lifeline代理商、lifeline授权代理商、lifeline国内代理商、lifeline中国代理商、lifeline全国代理商、lifeline官方代理商,就找华雅思创生物!
买试剂 找华雅
更多生物试剂 就在华雅思创—【华雅思创为您考虑更多!!!】
产品说明:
内皮生长因子内皮细胞培养液成套试剂盒:
VascuLife®VEGF(含内皮生长因子、低血清)是为人内皮细胞快速增殖而优化的培养基,包括:
人脐内皮细胞
主动脉内皮细胞
其他内皮细胞
VascuLife®培养基支持这些细胞在低血清环境。
VascuLife®基础培养基不含 药物,不含酚红。
VascuLife®VEGF培养基中含有rh VEGF,可能影响刺激试验。
VascuLife®培养基使用一种称为“生命因子”试剂盒的工具包来包装:由基础培养基、相关补充物和生长因子组成。(此工具包可以保证实验室使用新鲜培养基,延长保质期和提高性能。)
VascuLife®基础培养基装在一个光保护500毫升瓶中,剩下的生命因素(生长因子和补充剂)包装在一个不透气水袋中,以便于储存。
生命因素®包括:
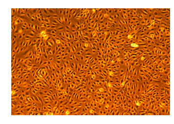
ISO-style标准测试表明 VascuLife VEGF培养基生长HUVEC和其他内皮细胞,其生长速率达到或超过其他商业上可用的含血清培养基,同时保持良好的细胞形态。与其他商业上可用的培养基相比,VascuLife VEGF在不同的播种密度下表现出更好的增殖能力。
如图:HUVEC,接种2,000细胞/cm2(100倍)后第2、4天传代。
如下所示低密度24孔板接种HUVEC,每个细胞井中较高的荧光代表有更多的细胞,因此说明培养中的细胞有更好的增殖能力。
产品介绍:
每一个生产批次的VascuLife®内皮生长因子(VEGF)内皮细胞培养液是利用内皮细胞广泛检测的。
不育试验:细菌和真菌生长阴性
ph值:7.8+/-0.3
细胞检测:增殖率和形态学
渗透压:270+/-10 mOsm
内毒素:<0.5 EU/mL
lifeline产品仅供科研使用,而不是批准用于人类或兽医使用,或在使用体外诊断或临床过程。
产品:
品牌 产品货号 产品名称
lifeline LM-0050 A HBTEC-ALI Differentiation Media上皮分化培养基
lifeline LL-0023 BronchiaLife Complete Kit气道上皮细胞培养基完整试剂盒
lifeline LL-0011 FibroLife®S2成纤维细胞培养基完整试剂盒
lifeline LL-0039 DermaLife Ma Complete Kit皮肤活性马氏黑素细胞培养基套装
lifeline LL-0027 DermaLife M Complete Kit皮肤活性马氏黑素细胞培养基套装
lifeline LS-1063 DermaLife Ma LifeFactor Kit
lifeline LS-1041 DermaLife M LifeFactor Kit
lifeline LM-0004 DermaLife Basal Medium皮肤活性基础培养基
lifeline LS-1040 VascuLife SMC LifeFactor Kit
lifeline LM-0002 VascuLife Basal Medium活性基础培养基
lifeline LL-0014 VascuLife SMC Complete Kit完全培养基
lifeline LL-0059 AdipoLife WJ/BM Complete Kit 成脂培养基套装
lifeline LL-0050 AdipoLife Ad Complete Kit成脂培养基套装
lifeline LM-0023 Osteolife Complete Medium, 100成骨完全培养基
lifeline LM-0022 Chondrolife Complete Med., 100软骨形成完全培养基
lifeline LL-0062 StemLife MSC BM Complete Kit骨髓MSC完全培养基
lifeline LL-0034 StemLife MSC Complete Kit完全培养基
lifeline LS-1090 StemLife MSC-BM Lifefactors ki
lifeline LL-0011 FibroLife-S2 Complete Kit
lifeline LS-1060 StemLife MSC Lifefactor Kit
lifeline LS-1083 DifFactor 3, 10 ml, ea
lifeline LS-1058 MSC LifeFactor, 10ml, Bovine
lifeline LM-0021 AdipoLife Basal Medium, 100 ml基础培养基
lifeline LM-0011 StemLife MSC, 485 ml基础培养基
lifeline LS-1075 DifFactor 2, 5 ml
咨询lifeline更多产品
欢迎您的致电